醫師病例個案
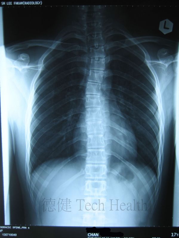
個案二 - 陳先生 18歲 - 胸椎側彎。
- 2013-7-29 患者時有困倦無力,肩背酸痛,頸胸椎活動受限,咳嗽或深呼吸時不適,胸悶胸痛,腹脹,下肢循環不佳,X片示胸椎側彎。集中治療頸胸椎及頭肩。
- 2013-7-30 治療第2次,頭較前感覺輕鬆。
- 2013-7-31 治療第3次,整體感覺較前輕鬆,惟晨起時較拘緊。
- 2013-8-1 治療第4次,頭頸感覺明顯輕鬆。
- 2013-8-3 治療第5次,這一兩天整體感覺及疼痛情況改善,惟時有反覆。
- 2013-8-5 治療第6次,睡眠時背輕微拘緊。
- 2013-8-9 治療第8次,呼吸時不暢,加頸側、氣門及支氣管組合,治療後呼吸明顯改善。




